Bu yazıda sadece psikiyatriyi değil, nörolojiyi, nöroşirurjiyi, hatta ve herhalde aslında tıbbın sinirbilimle ilgili tüm dallarını ve de psikolojiyi, belki de en çok felsefeyi ilgilendiren, tuhaf bir vaka bildiriminden söz edeceğim.
Vaka (1) 1997’de British Medical Journal gibi saygın bir tıp dergisinde yayımlanmış. Ben ilk başta Doç. Dr. Berker Duman’ın (@berkerduman) X, eski adıyla twitter platformundaki 20 Ocak 2026 tarihindeki paylaşımı (2) sayesinde haberdar oldum.
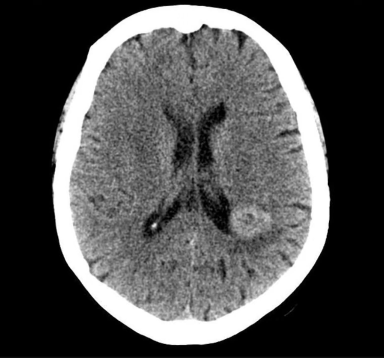
Anlatıldığı şekliyle, vaka, beyin tümörü olduğunu ve beyin görüntüleme yapılması gerektiğini söyleyen sesler duyan orta yaşlı bir kadın hastayla ilgiliydi. Hastaya işitsel varsanılar (halüsinasyon) ve psikoz tanısı ile antipsikotik ilaç başlanmış, ilk başlarda sesler azalsa da daha sonra tekrar artmış ve seslerin içeriğine uygun olarak çekilen beyin tomografisinde hastanın sol frontal (alın lobu) bölgesinde büyükçe bir menenjiyom (3) saptanmış ve ameliyat sonrasında sesler tamamen kaybolmuştu.
Doç. Dr. Berker Duman bu gönderisinde vakayı seslerin içeriğinin sorunun esas kökenini yansıtması ve bazı beyin tümörlerinin hiçbir nörolojik belirtiye neden olmadan, sadece psikiyatrik belirtilerle ortaya çıkması yönlerinden ele almıştı, fakat ben vakanın bu saptamanın çok ötesinde bir şeyler gösterdiği kanısındaydım. Bunu tekrar vurgulamak için vakayı ‘saçaklarından arındırarak’ ve daha sonra okuduğum bilgilerle kısmen tamamlayarak özetlemek isterim:
Orta yaşlı bir kadın beyninde bir tümör olduğunu söyleyen sesler (varsanılar?) duyuyor. Önce kendisi ve doktorlar tarafından ciddiye alınmayan bu sesler ısrar edince, hatta hastaya nereye gitmesi gerektiğini bile söyleyince, yapılan beyin görüntülemesinde gerçekten seslerin dediği çıkıyor ve beyinde bir tümör bulunuyor. Daha da ötesi, bu tümör ameliyatla çıkarıldıktan sonra sesler kesiliyor, sadece bir kez tekrarlıyor ve onda da “Sana yardım edebildiğim için memnunum. Hoşçakal!” deyip kayboluyor.
Vakayı okuyunca kendimi sanki bir Alaattin’in Sihirli Lambası ya da bir Gülen Elma ile Ağlayan Nar masalı okumuş gibi hissettim. Bana fazlasıyla gerçek dışı geldi ve biraz daha ayrıntıların peşine düşmek istedim. Çünkü böyle bir vakanın gerçek olması halinde, sadece sinirbilim alanındaki birçok kuramı değil, nöroloji, antropoloji ve psikoloji dahil insana dair birçok bilim dalını ve felsefeyi ve de dinleri yeniden düşünmemiz gerekecekti. İlk başta, ne yalan söyleyeyim, vakayı bildiren psikiyatristin Nijerya kökenli olması kuşkularımı besledi, çünkü kafamda neredeyse animistik döneme özgü ilkel kabile dinlerinin hâlâ yaygın olduğu bir Afrika vardı. Orada böyle bir vaka belki olağan karşılanabilirdi ve ben oralarda yayımlanan bir dergide bu vaka bildirilmiş olsaydı, bu kadar ciddiye almayabilirdim, fakat vaka British Medical Journal gibi saygın bir dergide yayımlanmıştı. Bu durum soru işaretlerimi azaltmak yerine çoğaltıyordu.
Önce yazar hakkında internetten kısaca bilgi topladım (4). Uzun adıyla Ikechukwu Obiola Azuonye 1949’da (vaka yayımlanmadan 48 yıl önce) Nijerya’da doğmuş bir tıp doktoru ve şair olarak tanınıyordu. Öz olarak altı erkek ve bir kız kardeşi, üvey (baba bir) olarak dört erkek, iki kız kardeşi vardı. İlkokulda Methodist ve Presbiteryen okullarında (Doğu Nijerya’da) okumuş, tıp öncesi eğitimini Nijerya Üniversitesi’nde almış ve 1976’da tıp doktoru olmuştu. 1979’da Birleşik Krallık’a gelerek önce nöroloji, sonra psikiyatri eğitimi görmüştü. Birçok hastanede danışman psikiyatrist ve eğitmen olarak çalışmıştı. 2004’ten beri özel sektördeydi. Amerikan politikası ve toplumu hakkında iki kitap yazmış ve şiir yazmaya ve yayımlamaya devam ediyordu. Birçok bilimsel makalesi yayımlanmıştı.
Vakanın yayımlanmasından sonra, yazılanlardan anladığım kadarıyla, akademik dergilerde benim ulaşamadığım bazı tartışmalar olmuştu. X platformundaki gönderilerden tartışmalar hakkında kısaca bilgi edinmek mümkün oldu. Tartışmaların bir bölümü -haklı olarak- vakanın inanılırlığını sorgulayan gönderilerden oluşuyordu. Bu gruptan bazılarının vakayı uydurulmuş mistik bir öykü olarak gördüğü anlaşılıyordu. Bir kısmı ise nörolojik vakaların atlanmaması için psikiyatrik belirtilerin dikkatle araştırılması gerektiği üzerinde duruyordu.
Özellikle @docxusofficial adlı hesap tartışmaları ayrıntılandırdığı için, onun görüşlerini biraz daha ayrıntılı sunacağım (5).
@docsxusofficial vakayı özetliyor ve başlangıçta gerçek dışı görünse de gerçekten yaşanmış olduğunu iddia ediyor. Bu özete göre, daha önce sağlıklı olan orta yaşlı bir kadın birdenbire kafasının içinde sesler duymaya başlıyor. Daha önce pek doktora gitmeyen, ruhsal hastalık öyküsü olmayan, eş ve anne olarak sıradan bir hayatı olan bir kadın 1984’te bir kış günü akşamı, evde oturup kitap okurken sakin ve berrak bir ses duyuyor: “Lütfen korkma, sana yardım etmek istiyoruz.” Ses, diğer sesle birlikte bir zamanlar Great Ormond Street Hastanesi’nde çalıştıklarını ve kadının tıbbi yardım almasını istediklerini iddia ediyor. Kadın daha önce hiç orada bulunmamış ve herhangi bir hastane hakkında düşünmesi için bir nedeni olmamış, bu da kadının yaşadığı deneyimi daha ürkütücü hale getirmiş. Sesler kadını ikna etmek için onun bilmediği üç spesifik olay anlatmışlar. Bunları araştırdığında, üçünün de gerçek olduğu ortaya çıkmış. Kendini güvende hissetmek yerine -doğal olarak- aklını kaybettiğine inanmaya başlamış.
Paniğe kapılan kadın hemen doktoruna gitmiş ve o da acilen bir psikiyatriste göndermiş. Psikiyatri kliniğinde varsanılı psikoz tanısı konmuş ve bir antipsikotik (thioridazine) başlanmış. Rahatlayan kadın problemin sona erdiğine inanarak tatile çıkmış. Fakat yurt dışında, hâlâ ilacını almaktayken, sesler geri dönmüş. Sesler bu kez daha aceleci davranarak onda bir şeylerin cidden yolunda gitmediğini ve hemen İngiltere’ye dönmesi ve verdiği spesifik bir adrese gitmesi gerektiğini söylemişler.
İngiltere’ye geldiğinde kocası “her şeyin kafasının içinde” olup bittiğini kanıtlamak için onu seslerin söylediği adrese götürmüş. Adresin Londra’nın büyük hastanelerinden birinin bilgisayarlı beyin görüntüleme (BT) bölümü olduğu anlaşılmış.
Sesler “Sende bir beyin tümörü var, bu yüzden beyin sapın iltihaplanmış. Hemen bir beyin görüntülemesine ihtiyacın var” deyince ve daha önce söyledikleri doğru çıktığı için onlara inanmış ve son derece rahatsız olmuş. Psikiyatristi ona güvence vermek için beyin tümörüyle ilgili herhangi bir fiziksel bulgusu olmadığını anlatmış, fakat emin olması için beyin görüntülemesi yaptıracağını belirterek bir beyin BT’si istemiş. Bu istek önce gereksiz bulunarak reddedilmiş, ama sonunda merkezdekiler ikna edilmişler ve BT çekilmiş. Sonuç herkes için şok ediciymiş. Beyinde büyük bir tümör (beyni örten zarlardan kaynaklanan ve yavaş büyüyen bir frontal parafalcine menenjioma) bulunmuş.

Tümörün büyüklüğüne rağmen kadında hiç baş ağrısı, güçsüzlük, konuşma problemi ya da herhangi bir nörolojik kusur yokmuş. Beyin cerrahları beklemeleri mi, yoksa hemen ameliyat etmeleri mi gerektiğini tartışmışlar ve sonunda hasta ve yakınlarıyla birlikte ameliyata karar vermişler. 4X6,5 cm kadar ölçülen tümör tamamen çıkarılmış. Kadın daha sonra anesteziden uyandığında sesleri son bir kez daha duyduğunu anlatmış: “Sana yardım edebilmiş olmaktan dolayı memnunuz. Hoşçakalın” deyip bir daha geri dönmemişler. Hastanın antipsikotik ilacı hemen kesilmiş. Ameliyattan sonra ne varsanısı, ne sanrısı, ne de başka bir psikiyatrik semptomu olmuş.
Peki, @docsxusofficial’a göre bu vakayı bu kadar büyüleyici yapan şey ne? Zira doktorlar beyin tümörlerinin kişilik değişiklikleri, depresyon ya da varsanılar gibi psikiyatrik semptomlara neden olabileceğini uzun zamandır zaten biliyorlar. Fakat bu vaka biraz olağandışı, çünkü;
Az önce değindiğim gibi, bazıları bunun normal dışı bir şey olduğuna inanıyor, bazıları da uydurma olmasından kuşkulanıyor. Çoğu klinisyen ise daha basit bir açıklama üzerinde uzlaşıyor: Tümör muhtemelen beyinde kendilerini varsanılar olarak ifade eden ve pek fark edilmeyen değişmelere neden oldu. Tümör çıkarılınca da semptomlar kayboldu.
Doktorla birlikte vakanın kendisinin de katıldığı vaka tartışmasında bir grup farklı bir görüş savunmuş. Onlara göre, hiç fiziksel belirti olmaması bir yana, bu büyüklükte bir tümörün hastayı hiç etkilememesi olanakdışıymış. “Bir şeyler hissetmiş olmalı” düşüncesindelermiş ve kafasındaki tuhaf bir hissin beyin tümörü olmasından korkmasına neden olduğunu ileri sürmüşler. Bu korku varsanılı sesler duymasına neden olmuş. “Kadın bilinçdışı olarak idrak ettiğinden daha fazla bilgi edinmiş ve bu bilgiler zihni tarafından işitsel varsanılı yaşantıların bir parçası olarak yeniden üretilmiş olabilir. Tedavisinin sonucuyla ilgili memnuniyet ifade eden sesler acil durumun sona ermesinden duyduğu rahatlamayı ifade eden kendi zihnidir. Tümörün tamamen çıkarılmasından sonra psikiyatrik semptomların bütünüyle kaybolması da bu semptomların en azından lezyonun mevcudiyetiyle doğrudan ilişkili olduğunu ve aslında lezyonun kendisi tarafından üretilmiş olabileceğini gösterir.”
@docsxusoffficial bu vakadan çıkarılacak dersleri de şöyle sıralamış:
Öykünün İngiltere Ulusal Sağlık Sistemi (NHS) hizmetlerinden bedava yararlanmak için uydurulduğu şeklindeki daha kuşkucu bir görüş ise @docsxusofficial’e pek olası görünmemiş, çünkü kadın yıllardır Britanya’da yaşamakta ve zaten NHS bakımına hakkı bulunmaktaymış.
@docsxusofficial gönderilerinde doktorların mistik veya bilim karşıtı oldukları için değil, gerçek hayatın her şeyi tek tek ve göstere göstere sunmadığını bilecek kadar çok hasta gördükleri için her şeyi siyah-beyaz olarak görmediklerini, hemen net bir açıklama peşinde koşmadıklarını savunuyor. Özellikle beynin on derece tahmin edilemezliğini vurguluyor: “İki kişi aynı lezyona sahip olabilir ve tamamen farklı belirtiler gösterebilir. Biri panikler, biri görmezden gelir. Bazıları size her şeyi anlatır, bazıları hiçbir şey anlatmaz, vs.” “Evet, bu vaka seslerin sihirli tümör tespit eden melekler olduğu anlamına gelmiyor, ama hastanın öznel deneyiminin, şüphecileri rahatlatmak için steril bir açıklamaya indirgenmesi gerektiği anlamına da gelmiyor” diyor.
Bu arada… vaka bazı blog yazarlarının da dikkatini çekmiş. Burada bir blog yazısını (6) örnek vermek isterim. Yazının büyük bölümü vakanın ayrıntılarına ayrılmış. Vaka daha önce anlatıldığı için bunları atlıyorum. Yazara göre “tıp literatüründe bildirilen türünün neredeyse tek örneği olan A.B. vakası” Dr. Azuonye tarafından 1996’da bir konferansta sunulmuş ve A.B. de konferansa katıldığı için, katılımcılar her ikisine de vakanın koşulları hakkında birlikte soru sorabilmişler. Hem A.B.’ye hem de Dr. Azuonye’ye yöneltilen soruların niteliği göz önüne alındığında, ilginç bir görüş çeşitliliği ortaya çıkmış. Makalesinde “X-severler” olarak adlandırdığı bir grup, vakanın, tümörü psişik olarak öğrenmiş ve uyarı göndermiş iyi niyetli kişilerden gelen telepatik iletişimin bir örneği olduğunu öne sürmüşken; ikinci grup (“X-korkaklar”) A.B.’nin İngiltere’ye gelmeden önce tümörünün farkında olduğunu ve Ulusal Sağlık Hizmeti (NHS) kapsamında ücretsiz tıbbi bakım almak için bir planın parçası olarak sesler duyma hikayesini uydurduğunu öne sürmüş. Yukarıda da belirtildiği gibi, sesleri duymadan önce zaten on beş yıldır İngiltere’de yaşadığı ve zaten bu hakka sahip olduğu düşünüldüğünde, bu tezin pek sağlam olmadığı rahatlıkla söylenebilir.
Önerilen üçüncü ve Dr. Azuonye’nin onayladığı açıklama ise, tümörden kaynaklanan belirgin semptomların olmamasına rağmen, bu büyüklükteki bir menenjiomun varlığının, bir şeylerin yanlış olduğunun farkında olması için duyuları tetiklemiş olabileceği yönündedir. Seslerden aldığı bilgiler muhtemelen, daha önce farkında olmadığı Londra hastaneleri hakkındaki kendi bilgisinden kaynaklanmaktadır. Tümör alındıktan sonra seslerin tamamen kaybolması, psikiyatrik semptomlarının muhtemelen nörolojik bozukluğuyla bağlantılı olduğunu düşündürmektedir. Ameliyatından bu yana geçen yıllarda semptomsuz kalması, bu son hipotezi destekleyebilir.
Blog yazarı yazısını vakadan epey kuşku duyar bir şekilde ve çok makul bir öneriyle bitirmiş: “A.B.’nin öyküsü, beynin hastalık tanısına nasıl yardımcı olabileceğine dair ilgi çekici bir örnek teşkil etse de, benzer başka vaka öykülerinin olmaması, bu tür bir olayın psikiyatrik geçmişi olmayan kişilerde son derece nadir olduğunu düşündürmektedir. Bu nedenle, sesler duymayı beklemek yerine, düzenli kontroller yaptırmak daha iyi olacaktır.”
Bu ironi makul bir çağrı içermektedir, çünkü böyle bir vakayı okuyan aklı başında herkes bir takım güçlerin insanın beynindeki tümörlere tanı koymakla, hatta tümörün yerini ve o an beyin sapındaki patolojik durumu (iltihap halini) saptamakla yetinmeyip gideceği hastanenin ve görüntüleme merkezinin adresini vermesini elbette mantıkdışı bulacaktır. Yine de öyküyü inandırıcılıktan çıkaran şey sadece mantıkdışı olması değildir, çünkü insanlar hayatta bazı mantıkdışı şeylerin olabileceğini, fakat mantıkdışı olmakla birlikte böyle şeylerin yaşanabileceğini bilirler. Örneğin, telepati de bunlardan biridir, yani mantıkdışı gelebilir, fakat belki de telepatik olaylar yaşanıyor olabilir, hatta bilimsel olarak da araştırılabilir, ancak, sıradan insanlar bile bir takım güçlerin beyin tümörü tanısını koyup hastayı hastaneye yönlendirmesinin olanaksızlığını kabul eder.
Tekrar söylemekte yarar görüyorum ki, vakayı mantıkdışı, hatta mistik bir düzeye taşıyan şey, sadece seslerin hastanın kafasında tümör olduğunu söylemesi ve gideceği hastaneyi bile tarif etmesi de değil, çünkü vaka bildiriminde geçen başka ayrıntılar da olan biteni tarafsız, bilimsel bir gözle ele alıp üstünde düşünmeyi olanaksızlaştırıyor. Gördüğüm tartışma ve katkılarda neredeyse hiç değinilmeyen bir konu, seslerin hastaya üç olaydan bahsetmesi ve hastanın da araştırınca bunların doğru olduğunu görmesi… Anlatılanların bu bölümü, seslerin sadece tümörle ilgili olmadığını, hastanın hayatına dair başka ayrıntılara da hakim olduklarını gösteriyor. Nitekim tümör çıktıktan sonra sesler son kez de olsa konuşmaya devam ediyorlar. Tüm bunlar bize aslında seslerin hastanın kendisinden kaynaklandığını, bir kısmının hastalığın yaratmış olabileceği endişelerin sonucu, bir kısmının geriye dönük anımsama, bir kısmının sonradan ekleme olabileceğini düşündürüyor. Bunları okurken izlediğim bir vaka aklımdan geçiyor: Beyin cerrahisinde bir tümör operasyonu geçiren, operasyondan sonra da duyusal-motor herhangi bir sorun yaşamayan, bilişsel işlevleri normal düzeyde olan bir hasta ısrarla olayları önceden bildiğini iddia ediyordu. Örneğin, birinin geleceğini “biliyor”, sonra kapı çalıyor ve o kişi geliyordu. Birkaç görüşmeden sonra bunun hastanın yanlış bir şekilde geriye doğru anımsamasından kaynaklandığına ikna oldum, fakat hastanın bu konudaki inancı bir hezeyan gibi sarsılmaz bir şekilde devam etti.
Özetle, hastanın kafasında bir tümör bulunması ve buna bağlı olarak bazı seslerin ona “iyi olmadığını” söylemesi ile seslerin tümörü tespit edip iltihaplanma gibi patolojik olayları ve bunların yerleşimini bilmesi, hatta nerede beyin görüntülemesi yaptıracağını söylemesi çok farklı durumlar. Başka deyişle, bu olgu sadece “psikiyatrik belirtilerin altındaki nörolojik olaylara karşı dikkatli olalım” diyerek geçiştirilecek kadar basit görünmüyor.
Bu nedenle, literatürde ne ondan önce, ne de ondan sonra buna benzer bir vakanın yaymlanmamış olması daha da önem kazanıyor. Bu, “önemli olan nadir görülmesi değil, öznel bir yaşantıyı bize aktarıyor olması” tezini benim gözümde değersizleştiriyor. Bilim, tekrarlanabilir olan olguları araştırıp nasıllarına ve nedenlerine bakabilir, ancak, tarihte sadece bir kez olmuş bir olayı bilimsel açıdan incelemek neredeyse olanaksızdır. Örneğin, Mısır’a yakın bölgelerde bir denizde zaman zaman öyle gelgitler olabilir ki, çekilme sırasında insanlar oradan yürüyerek karşıya geçebilirken, çekilme bitince o bölgeler denizle dolabilir ve geçiş olanaksız hale gelebilir. O zaman Musa’nın kavmiyle geçerken denizin ikiye yarılmasının bilimsel temellerini üzerine varsayımlarda bulunabiliriz. Ancak, bu olay hiç tekrar etmiyorsa, tarihte sadece bir kez olmuşsa, o bölgelerde benzer bir olay saptanmamışsa, o zaman bu olayın bilimsel açıklamasını deneysel olarak değil, sadece spekülasyon düzeyinde yapabiliriz. Ama bu spekülasyonları the BMJ gibi bir dergide yayımlatamayız.
Konu, eski adıyla the British Medical Journal, sonraki adıyla the BMJ’ye gelmişken, onunla ilgili yine tuhaf bir olaya daha değinmeden yazıyı bitirmeyeyim (7).
The British Medical Journal 2 haftada bir yayımlanan, hakemli bir tıp dergisi. Sahibi İngiliz Tıp Derneği (British Medical Association). Dünyanın en eski tıp dergilerinden biri. 1840’ta the Provincial Medical and Surgical Journal adıyla yayımlanmaya başladı. 1998’de adı resmi olarak BMJ, 2014’te the BMJ olarak kısaltıldı. Her ne kadar “impact factor”un bir promosyon aracı olarak kullanılmasına karşı çıktığını ilan etse de, 2024’te kendi impact factor’u 43’tü ve bu sayı onu genel tıp kategorisindeki araştırma dergileri arasında 4. sıraya koyuyordu.
Derginin yayın politikası kanıta dayalı tıbbın savunulmasına dayanıyor. Ancak, her yıl Noel’den önce Cuma günü özel bir “Noel Sayısı” yayımlıyor ve bu sayı pek ciddi olmayan tıbbi konuları ciddi akademik yaklaşımlarla araştıran makaleleriyle biliniyor. Sonuçlar genellikle mizahi bir dille sunuluyor ve ana akım medyada da geniş yer buluyor. Nitekim kimse bunun üzerinde durmasa ve ciddi bir vakaymış gibi tartışsa da, bu vakanın da Noel haftasında (20-27 Aralık) yayımlandığı ve basılı medyada haber olduğu anlaşılıyor. Irish Times ve Independent gazeteleri ile Scoop ve Paranormal Insight sitelerinin haberlerini örnek olarak buraya koyuyorum:




Bu vakayı araştırırken başka bir ilginç durumla karşılaştım. 1974’te psikiyatrist (halen Lordlar Kamarası’nda üye) Elaine Murphy o zamanki kocası John’un adıyla dergiye bir vaka bildirisi göndermişti: The Cello Scrotum. Bildiride nasıl ki koşucularda görülen meme başı tahrişine “Koşucu Meme Başı (Jogger Nipple) Sendromu”, gitar çalan bazı kişilerde görülen duruma “Gitar Meme Başı (Guitar Nipple) Sendromu” deniliyorsa, viyolonsel kullanan erkeklerin de “Viyolonsel Skrotumu Sendromu” yaşayabilecekleri anlatılıyordu. Murphy ve kocası bunu şaka olarak yapmışlardı, fakat daha sonra çok yaygın olmasa da, vakayı ciddiye alıp viyolonselin konumunun böyle bir sendroma yol açmayacağını ileri süren ve sendroma kuşkuyla bakan yayınlar olmuştu. Nihayet 2008’de the BMJ’nin Noel özel sayısındaki bir makalenin bu şikayete referans vermesinden sonra Murphy dergiye bildirinin şaka olduğunu açıklayan bir mektup göndermişti. (Bu arada… vakanın başlığı olan Cello Scrotum’daki “scrotum”un Türkçe’de, afedersiniz, “t.şak” anlamına geldiğini ve yine İngilizce’de bu tür yayınlar için kullanılan “hoax” sözcüğünün “sahte”, “şaka”, “aldatma”, vb. anlamları gibi “t.şak geçmek” anlamı da olduğunu eklemeden geçemeyeceğim. Buna artık rastlantı diyebiliriz.)
Bu tuhaf vakanın peşinde çıktığım yolculuk bu kadar macerayla bitmedi. Wikipedia’da Murphy’nin şaka mahiyetinde bir vaka bildiriminin the BMJ’de yayımlandığını okurken Şakalar (aldatmalar, sazanlıklar) Listesi’ne rastladım ve ona bakarken hiç ummadığım bir başka gerçekle karşılaştım: Johann Hari’nin intihaciliği (aşırmacılık, plagiarism)… Türkiye’de Çalınan Dikkat (8) ve Kaybolan Bağlar (9) adlı popüler kitaplarla geniş bir okur kitlesi kazanan Hari’nin bir aşırmacı olduğunu keşfetmek beni epey şaşırttı (10).
Haziran 2011’de Deterritorial Support Group’taki blog yazarları ve Yahoo! İrlanda editörü Brian Whelan, Hari’nin röportaj yaptığı kişilerin diğer röportajlarında ve yazılarında yayımlanan malzemeyi intihal ettiğini (aşırdığını) keşfetmişti. Örneğin, Afgan kadın hakları aktivisti Malalai Joya ile 2009’da yapılan bir röportajda Joya’nın Raising My Voice adlı kitabından alıntılar, sanki doğrudan Hari’ye söylenmiş gibi gösterilmişti. Hari’nin Orwell Ödülü’ne başvururken sunduğu “Çokkültürlülük Kadınlara nasıl İhanet Ediyor” başlıklı yazısı ise Der Spiegel’den aşırılmıştı.
Hari başlangıçta yanlış bir şey yaptığını kabul etmedi; alıntıların açıklama amaçlı olduğunu ve başkasının düşüncelerini kendi düşünceleriymiş gibi sunmadığını söyledi. Ancak daha sonra davranışının “tamamen yanlış” olduğunu ve “insanlarla röportaj yaparken, diğer gazetecilere söylenmiş veya kitaplarda yazılmış şeyleri bana söylenmiş gibi sunduğunu, bunun da doğru olmadığını” açıkladı. Hari, The Independent’tan iki ay süreyle uzaklaştırıldı ve Ocak 2012’de gazeteden ayrılacağı açıklandı.
Medya Standartları Vakfı, 2008 ödülünü Hari’ye veren Orwell Ödülü konseyine iddiaları incelemesi talimatını verdi. Konsey, “makalenin yanlışlıklar içerdiğini ve başkasının hikayesinin farklı bölümlerini birleştirdiği” ve Orwell Ödülü kazanan gazetecilik standartlarını karşılamadığı sonucuna vardı. Hari ödülü iade etti, ancak 2.000 sterlinlik ödül parasını iade etmedi. Daha sonra parayı geri ödemeyi teklif etti, ancak ödül parasını ödeyen Political Quarterly dergisi bunun yerine onu George Orwell’in de üyesi olduğu İngiliz PEN’e bağış yapmaya davet etti. Hari, The Independent’taki işine geri döndüğünde taksitler halinde ödenmek üzere, ödülün değerine eşit bir bağış yapılması konusunda İngiliz PEN ile anlaştı, ancak orada çalışmaya da geri dönmedi.
2000 yılı gibi erken bir tarihte Hari, Varsity‘nin (11) okuyucu mektupları sayfasında Ben Elton tarafından, yalnızca Yahudilerin İsrail vatandaşı olabileceğini belirtmesi de dahil olmak üzere, yanlış bilgiler nedeniyle eleştirilmişti. İntihalin yanı sıra, Hari’nin hikayelerin bazı unsurlarını uydurduğu da tespit edildi. 2008 Orwell Ödülü’nü kazandığı hikayelerden birinde, Orta Afrika Cumhuriyeti’ndeki vahşetleri anlatmıştı, fakat daha sonra Hari için tercümanlık yapan bir STK çalışanı, Hari’nin alıntılarının uydurma olduğunu ve Orta Afrika Cumhuriyeti’ndeki yıkımın boyutunu abarttığını söyledi. İntihalinin ortaya çıkmasının ardından özür dileyen Hari, yine de STK’nın diğer çalışanlarının olayların kendi versiyonunu desteklediğini söylemekten de geri durmadı.
Hari, 2010 yılında askeri robotlarla ilgili bir makalede, eski Japonya Başbakanı Junichiro Koizumi’nin bir fabrika robotu tarafından saldırıya uğradığını ve neredeyse öldürüleceğini iddia etti. Bu doğru değildi. Yine Kopenhag iklim zirvesi için dikilen büyük bir kürenin McDonald’s ve Carlsberg’in “kurumsal logolarıyla kaplı” olduğunu ve “Coca-Cola markasının… Afrika’nın üzerine damgalandığını” iddia etti. Bu da doğru değildi. Private Eye’ın (12) Hackwatch köşesi Hari’nin Irak savaşına destek sağlamak için Iraklı sivilleri işgalden yanaymış gibi konuşturduğunu, oysa daha önceki bir makalede Iraklıların görüşlerini pek dile getirmediklerini belirten çelişkili bir açıklama yaptığını gösterdi. Ayrıca, Irak’taki iki haftalık paket turunu bir aylık araştırma ziyareti olarak tanıtmıştı.
Hari, New Statesman‘da çalışırken, derginin yardımcı editörü Cristina Odone, yazdığı bir hikayedeki alıntıların gerçekliğinden şüphe duydu. Defterlerini görmek istediğinde, onları kaybettiğini söyledi. Hari’nin, iddia edilen etik dışı davranışları nedeniyle Cambridge öğrenci gazetesindeki pozisyonunu kaybettiğini öğrendikten sonra Odone, derginin editörü Peter Wilby’ye gitti, ancak sonuç alamadı. Odone daha sonra, Hari’nin “David Rose” adlı sahte hesabını kullanarak Wikipedia sayfasını değiştirdiğini ve kendisini homofobi ve antisemitizmle yanlış bir şekilde suçladığını keşfetti.
Eylül 2011’de Hari, kendisi ve anlaşmazlık yaşadığı gazeteciler hakkında Wikipedia’da makaleler düzenlediğini itiraf etti. “Meth Productions’tan David r” takma adıyla bir sahte hesap kullanarak, Nick Cohen, Cristina Odone, Francis Wheen, Andrew Roberts, Niall Ferguson ve Oliver Kamm gibi gazeteciler hakkındaki makalelere yanlış ve iftira niteliğinde iddialar eklemiş ve kendisi hakkındaki makaleyi “çağımızın en önemli yazarlarından biri gibi gösterecek” şekilde düzenlemişti.
Temmuz 2011’de Cohen, The Spectator‘da şüpheli Wikipedia düzenlemeleri hakkında yazdı ve bu da New Statesman gazetecisi David Allen Green’in Hari’nin “David Rose” sahte kimliğini kullanarak çevre biliminde yetkin bir editör gibi davrandığına dair kanıt toplamasına yol açtı. Bu durum, Wikipedia topluluğu tarafından bir soruşturmaya yol açtı ve “David Rose” Wikipedia’dan engellendi. Hari, The Independent gazetesinde bir özür yazısı yayınlayarak “David Rose” gibi davrandığını kabul etti ve şunları yazdı: “Anlaşmazlık yaşadığım kişilerin paylaşımlarını çocukça veya kötü niyetli şekillerde düzenledim: Birini Yahudi karşıtı ve homofobik, diğerini ise sarhoş olarak nitelendirdim. Bunu yaptığım için çok üzgünüm, çünkü bu en temel etik kuralı ihlal ediyor: Başkalarına, size yapılmasını istemediğiniz şeyi yapmayın. İkinci gruptan koşulsuz ve her bakımdan özür diliyorum.”
Hari’nin 2015 yılında yayımlanan Chasing the Scream: The First and Last Days of the War on Drugs (Çığlığın Peşinde: Uyuşturucuyla Savaşın İlk ve Son Günleri) adlı kitabı, yasadışı uyuşturucuların küresel olarak yasaklanmasını eleştiriyor. Hari aynı yıl bu konuda bir TED konuşması da yaptı. Hari, çoğu bağımlılığın, belirli bir maddeye duyulan basit bir biyolojik ihtiyaçtan ziyade, deneyimlere ve sağlıklı destekleyici ilişkilerin eksikliğine verilen işlevsel tepkiler olduğunu savundu.
Önceki skandallar nedeniyle Hari, “Chasing the Scream” için yaptığı bazı röportajların ses kayıtlarını internete yükledi. Yazar Jeremy Duns, alıntıların yanlış yazıldığı veya yanlış temsil edildiği durumları eleştirerek, onlarca klibin örnekleminde, “neredeyse tüm durumlarda, alıntılardaki kelimelerin, çoğu zaman görünürde bir amaç olmaksızın, ancak birkaç durumda anlatıyı ince bir şekilde değiştirmek için, not edilmeden değiştirildiğini veya çıkarıldığını” belirtti. New Matilda için yazdığı bir incelemede Michael Brull, Hari’nin alıntı uygulamaları hakkında çekincelerini dile getirdi ve Chasing the Screamdeki anlatı ile Hari’nin 2009 tarihli bir makalesi arasındaki çelişkileri vurguladı.
Ocak 2018’de Hari’nin depresyon ve kaygı konularını ele alan Kaybolan Bağlar adlı kitabı yayınlandı. Hari, çocukluk sorunlarını, kariyer krizini ve antidepresanlar ile psikoterapi deneyimlerini konuya olan merakını besleyen unsurlar olarak gösterdi. Kimi gazeteci ve bilim insanları “Antidepresan kullanan kişilerin %65 ila %80’i bir yıl içinde tekrar depresyona giriyor” gibi ciddi iddialar için kaynak gösterilmemesi, tek bir araştırmacının çalışmasına dayanılması, tek bir antidepresan sınıfı üzerindeki araştırmanın tüm antidepresanlar için geçerliymiş gibi ele alınması ve stres ile depresyonun karıştırılması nedeniyle Kaybolan Bağları eleştirdi.
Hari’nin 2022 yılında yayımlanan Çalınan Dikkat: Neden Dikkat Edemiyorsunuz ve Tekrar Derinlemesine Nasıl Düşünebilirsiniz adlı kitabı, sosyal medya da dahil olmak üzere modern yaşam tarzlarının unsurlarının “konsantre olma yeteneğimizi yok ettiğini” savunuyor. Kitap, 12 Şubat 2022’de sona eren hafta için New York Times‘ın kurgusal olmayan en çok satanlar listesinde yedinci sırada yer aldı. Önceki kitaplarında olduğu gibi, Çalınan Dikkat de araştırma, röportajlar ve birinci şahıs anlatımının bir karışımını sunuyor. Hari, “dikkat krizine” katkıda bulunduğunu söylediği on iki faktör belirledi. Örnekler arasında sosyal medya gibi teknoloji bağımlılıkları, kronik stresin artan yaygınlığı, çocukların açık havada oyun oynama ve bağımsız keşiflere maruz kalmasının azalması ve ultra işlenmiş gıdaların beyin fonksiyonları üzerindeki etkisi yer alıyor. Hari, geç aşama kapitalizmin insan refahından ziyade kârı ön plana çıkarmasının kısmen suçlu olduğunu öne sürüyor. Teknoloji endüstrisini, etkileşimi en üst düzeye çıkarmak için insanları sömüren ürünler tasarladığı için eleştiriyor. Çalınan Dikkat, uyku yoksunluğunun ve anlamlı iş fırsatlarının eksikliğinin etkilerini de ele alıyor. Hari, kolektif eylem çağrısında bulunuyor ve kişisel eylemden ziyade toplumsal değişikliklere odaklanılmasını öneriyor. Çalınan Dikkati de kişisel anekdotlara aşırı derecede güvenmesi, dikkat sürelerinin kısaldığına dair güçlü kanıtlar sunmaması, bazı çalışmalar için birincil kaynakları belirtmemesi ve çoklu görev yapmanın belirli koşullarda faydaları olabileceğini öne süren çalışmaların sonuçlarını yanlış temsil etmesi açılarından eleştirildi. Hatta yayıncının kaynakları yanlış yorumladığı için kitabı geri çekmesi istendi.
Hari’nin semaglutid adlı zayıflama ilacını kullanma deneyimini birinci ağızdan anlattığı Sihirli Hap: Yeni Zayıflama İlaçlarının Olağanüstü Faydaları ve Rahatsız Edici Riskleri adlı kitabı 2024 yılında yayınlandı. Sihirli Hap da yanlışlıklar nedeniyle eleştirilere maruz kaldı. Restoran eleştirmeni Jay Rayner, Hari’nin Sihirli Hapta Rayner’ın Ozempic (semaglutid) kullandığını ve bunun sonucunda “Paris’teki harika restoranlarda bile yemekten zevk almadığını” söylediği için Hari’yi eleştirdi, çünkü Rayner’e göre bu “tamamen saçmalık”tı. The Observerda semaglutid kullanmayacağını yazdı. Ayrıca, Paris’ten de hiç bahsetmemişti. The Guardian için yazan Tom Chivers, kitabın iddialarını desteklemeyen referansların kullanımını ve bilimsel yanlışlıkları eleştirdi. Private Eye dergisi, Hari’nin kitabını yanlış iddialar ve şüpheli referanslar olarak verdiği için eleştirdi. Daily Telegraph tarafından yapılan bir doğrulama çalışması, altı adet “hata, güncel olmayan veri ve tartışmalı iddia” örneği buldu. Hari, bu hataların gelecek baskılarda düzeltileceğini söyledi.
Dipnotlar
Yorumlar kapatıldı.